티스토리 뷰
목차

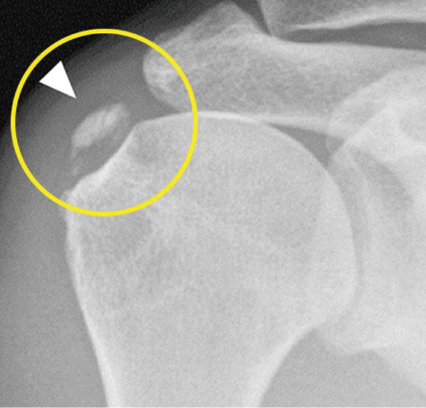
석회화 건염이라고도 하는 어깨 석회화는 발생하면 통증이 심할 수 있습니다. 이 질환은 어깨 힘줄에 칼슘 침착물이 형성되어 불편함, 경직, 이동성 제한을 유발합니다. 이 질환은 놀라울 정도로 흔하며 모든 연령대의 사람들에게 영향을 미치지만 30세에서 60세 사이의 성인에게 자주 발생합니다. 이 질환에 대해 잘 모른다면 복잡하게 들릴 수 있지만 어깨 석회화의 원인, 증상 및 치료법에 대해 공부하고 이해하면 효과적으로 관리하는 데 도움이 될 수 있습니다. 또한 증상 개선을 위해 이 질환이 악화되는 것을 막고 치료하는 데 도움이 될 수 있는 몇 가지 영양제도 살펴볼 것입니다.
어깨 석회화의 원인과 증상
어깨 석회화는 팔을 움직이는 회전근개 근육의 힘줄에 칼슘이 축적되면 발생합니다. 현재 이러한 축적의 정확한 원인은 완전히 명확하지는 않지만 몇 가지 요인이 그 원인으로 작용합니다. 석회화 건염의 영향을 받는 대부분의 사람들은 30~60대입니다. 어깨에 부담을 주는 특정 스포츠나 직업의 움직임과 같은 반복적인 움직임도 이 질환을 유발할 수 있습니다. 또한 당뇨병이나 대사 문제와 같은 건강 문제도 위험을 증가시킬 수 있습니다. 칼슘 침착물이 형성됨에 따라 주변 조직을 자극하여 통증과 염증을 유발할 수 있습니다. 일반적인 증상으로는 특히 움직임에 따라 어깨에 날카롭거나 따끔거리는 통증과 제한된 범위의 움직임이 있습니다. 통증으로 인해 붓기, 팔의 쇠약, 심지어 수면의 어려움을 느낄 수 있습니다. 단순한 작업을 수행하기 어려울 정도로 심한 통증을 경험하는 사람들도 있으므로 이러한 징후를 발견하기 시작하면 심각하게 받아들이고 치료를 서둘러 받는 것이 중요합니다.
치료법
어깨 석회화는 조기에 발견되는 경우 일반적으로 관리할 수 있습니다. 가벼운 경우 휴식과 자가 관리가 효과적일 수 있습니다. 얼음을 해당 부위에 바르고 이부프로펜과 같은 일반의약품 소염제를 복용하면 통증과 부종을 줄일 수 있습니다. 물리치료는 어깨의 유연성과 근력, 이동성을 개선하는 데도 도움이 됩니다. 치료사가 기능 회복과 향후 문제를 예방하는 데 도움이 되는 운동을 안내해 줍니다. 통증이 지속되거나 악화되면 더 강한 치료법이 필요할 수 있습니다. 코르티코스테로이드 주사는 염증을 줄이고 완화 효과를 제공할 수 있지만 장기적인 해결책은 아닙니다. 일부 사람들은 음파를 사용하여 칼슘 침착물을 분해하는 충격파 치료를 받기도 합니다. 더 심각한 경우 침착물이 다른 치료법에 반응하지 않을 때 칼슘을 제거하고 힘줄 손상을 복구하는 수술이 필요할 수 있습니다. 수술은 일반적으로 최후의 수단이지만 만성 통증으로 어려움을 겪고 있는 사람들에게는 장기적인 완화 효과를 가져올 수 있습니다.
도움이 되는 영양제
의학적인 치료는 필수적이지만 특정 영양제는 힘줄 건강에 도움이 될 수 있으며 심지어 상태가 악화되는 것을 예방할 수도 있습니다. 예를 들어 콜라겐은 힘줄과 기타 결합 조직의 구조와 강도를 유지하는 데 핵심적인 역할을 합니다. 콜라겐을 보충하면 힘줄의 전반적인 건강과 유연성을 개선할 수 있으므로 향후 석회화 위험을 줄이는 데 도움이 될 수 있습니다. 생선 기름과 아마씨 기름에 함유된 오메가 3 지방산도 도움이 됩니다. 이러한 건강한 지방은 통증과 부기를 줄일 수 있는 항염증 효과가 있으며, 석회화 건염을 치료할 때 매우 중요합니다. 관절 건강을 지원하는 또 다른 보충제는 글루코사민입니다. 연골과 관절 윤활을 유지하는 데 도움이 되며, 이는 어깨 힘줄의 마모를 줄일 수 있습니다. 비타민 D가 부족하다면 뼈와 힘줄 건강 모두에 중요하기 때문에 이를 보충하는 것도 중요합니다. 비타민D 결핍은 석회화 위험을 증가시킬 수 있으므로 식단이나 보충제를 충분히 섭취하는 것이 좋습니다. 마지막으로 마그네슘은 근육 기능에 중요한 역할을 하며, 어깨 근육의 긴장이 석회화를 악화시킬 수 있으므로 마그네슘은 근육을 이완시키고 전반적인 어깨 운동성을 개선하는 데 도움이 될 수 있습니다. 이러한 영양제를 식단에 포함하면 회복을 도울 뿐만 아니라 향후 어깨 석회화 증상을 예방하는 데 도움이 될 수 있습니다. 어깨 석회화는 불편하지만 적절한 치료를 받으면 충분히 관리할 수 있는 질환입니다. 연령, 기저 건강 상태를 고려하여 조기에 올바른 조치를 취하는 것이 회복에 큰 변화를 가져올 수 있습니다. 휴식, 물리치료, 진통소염제 치료는 가벼운 증상을 완화하기에 충분하지만 상황이 더 심해지면 주사나 수술과 같은 옵션이 필요할 수 있습니다. 의학적 치료 외에도 영양에 주의하고 콜라겐, 오메가 3 지방산, 글루코사민, 비타민 D, 마그네슘과 같은 영양제를 복용하면 치료 과정을 돕고 향후 문제를 예방할 수 있습니다. 어깨 통증이 있거나 석회화 건염이 의심되는 경우 주저하지 말고 의료 전문가의 조언을 구하세요. 올바른 치료와 적극적인 치료 과정을 통해 대부분의 사람들은 어깨 석회화를 해결하고 삶의 질을 좋은 방향으로 유지할 수 있습니다.
'질병과 건강' 카테고리의 다른 글
| 알레르기 비염, 계절성 알레르기, 두 질병을 관리하는 방법 (6) | 2024.12.03 |
|---|---|
| 감기와 독감의 차이, 구분하는 방법, 예방하는 팁 (2) | 2024.12.02 |
| 고혈당 쇼크의 정의와 증상, 위험 및 위험 요인, 대처 방법 (0) | 2024.12.01 |
| 치질의 증상, 예방법, 병원에서 하는 치질 검사 (3) | 2024.11.30 |
| 녹내장의 증상 및 원인, 진단 및 치료법, 합병증 (1) | 2024.11.30 |